Golden Hill Family Dentistry
Dr. Grace Rudersdorf, DDS & Dr. Carson Spornhauer, DDS

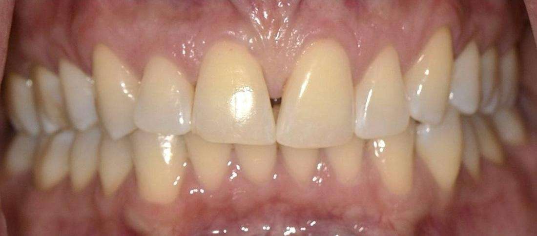
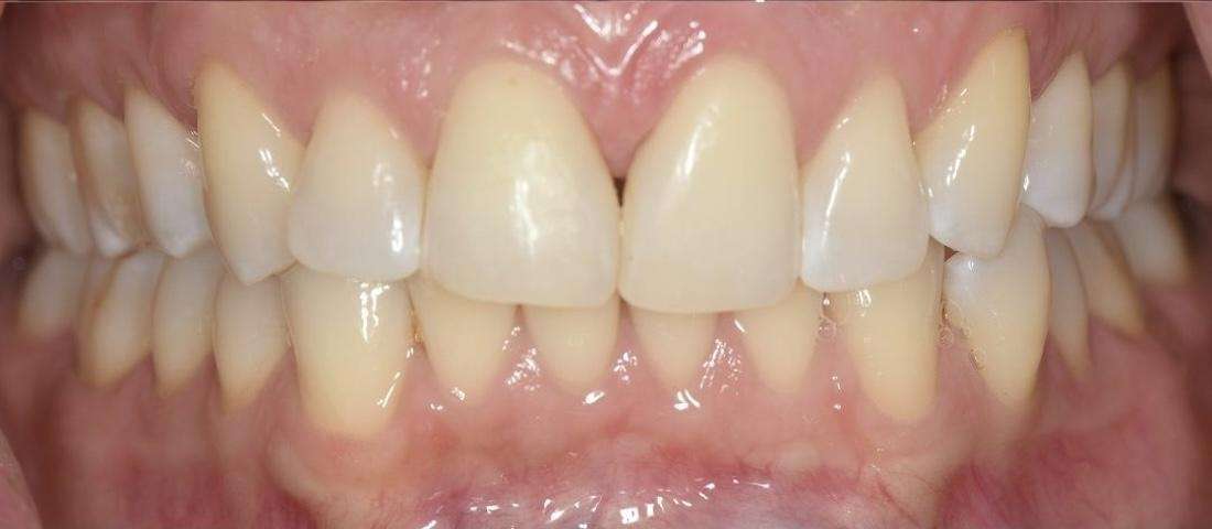
Diastema Closure with Composite Veneers

At Golden Hill Family Dentistry, we offer composite veneers to beautifully and conservatively close gaps between teeth, often in just one visit. Composite veneers are a natural-looking, minimally invasive solution that can instantly enhance your smile without extensive prep work. If you've been thinking about fixing that front tooth gap, we’d love to help you feel more confident every time you smile. 

Veneers in Lakewood, CO

Call us today to schedule a consultation. We’re here to make your dream smile a reality.

 

Related Services:

Cosmetic Dentistry
Not Finding What You Need?
If you have difficulty using our website, please email us or call us at (303) 237-1553
View the ADA Accessibility Statement
Privacy Policy