Golden Hill Family Dentistry
Dr. Grace Rudersdorf, DDS & Dr. Carson Spornhauer, DDS
Cosmetic Dentistry
Your Dream Smile Is Possible

Unhappy with the appearance of your teeth? Our cosmetic dentists in Lakewood, CO, can help turn your smile from dull to dazzling!

Cosmetic Dentistry | Dentist

Cosmetic Dentist in Lakewood, CO

front desk in Golden Hill Family DentistryYour smile is one of the first things people notice—so why not make it one of your favorite things, too? At Golden Hill Family Dentistry, we’re all about making you feel great about your smile in a way that feels easy, honest, and totally pressure-free. We focus on having real conversations, delivering real solutions, and genuinely caring about you and your goals.

Looking for the best cosmetic dentist in Lakewood, CO? Our services for cosmetic dentistry at Golden Hill Family Dentistry are among the highest quality and most personalized in the area. We tailor everything to you: your goals, your lifestyle, your comfort level. Whether you’re hoping to fix a chipped tooth, erase some stubborn stains, close a little gap, or add a bit of “wow” to your everyday grin, we’ve got the tools (and the artistry) to make it happen.

Cosmetic dentistry isn’t about perfection; it’s about helping you smile with confidence. So if you’re ready to give your teeth the glow-up they deserve, we’re ready to cheer you on and get to work!

Why Cosmetic Dentistry Might Be Right for You

Sometimes, it’s not just about looking better; it’s about feeling better. Here’s why many of our patients consider cosmetic dental treatments at our Lakewood dental office.
Confidence Boost
When you love your smile, people notice. Cosmetic treatment can make you more at ease in social situations, work settings, or even just when snapping a selfie.
Fast, Visible Results
Treatments like whitening or bonding can give you instant improvements, while veneers and aligners create long-term transformations that are totally worth the wait.
Better Oral Health
It’s not just for looks! Straighter teeth are easier to clean and less prone to issues like decay or gum disease. So while you're upgrading your smile, you're also investing in your long-term dental health.

Frequently Asked Questions

In the world of clear aligners, OrthoFX is a standout solution that blends state-of-the-art technology with all-day comfort, and we’re proud to offer this advanced treatment option at Golden Hill Family Dentistry. While many people are familiar with traditional clear aligner brands, OrthoFX takes it a step further by combining smart technology, responsive materials, and truly personalized care.

Enhanced Flexibility and Comfort

So, what makes OrthoFX aligners different? First, the aligners are made from a unique, multi-layer polymer that offers more comfort and flexibility than other systems. This material allows for gentle, effective tooth movement without the discomfort that sometimes comes with more rigid trays. Patients often notice a smoother fit and faster results compared to other clear aligners.

What really sets OrthoFX apart is the full-service experience. From your first consultation to your final retainer, we design every aspect of the process to be convenient and patient-focused. You’ll even receive support via a dedicated care team throughout your journey.

Call Us for Clear Aligners in Lakewood, CO

At Golden Hill Family Dentistry, your OrthoFX treatment in Lakewood, CO, is crafted with your long-term oral health in mind. Our dental team focuses on proper alignment, bite function, and smile aesthetics, all while supporting your overall health. Ready for a straighter smile without the hassle of metal braces? Ask us about OrthoFX today!

 

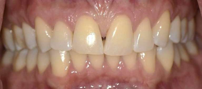
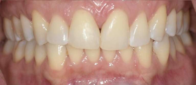
Your Smile, Upgraded

woman with blonde hair smilingVeneers

Veneers are like a style makeover for your teeth. These thin porcelain shells are bonded to the front of your teeth to instantly improve shape, size, and color. Have a crooked tooth that bugs you? Small gaps? Stains that whitening won’t touch? Veneers in Lakewood can cover it all. They're durable, natural-looking, and designed just for your face and smile.

Professional Teeth Whitening

Nothing refreshes your smile like a professional whitening treatment. Over time, our teeth naturally collect stains from things like coffee, tea, wine, and life in general. Our Lakewood teeth whitening treatments brighten your smile safely and effectively, giving you noticeable results in a single visit. We also offer custom take-home options if you’d rather whiten on your own time.

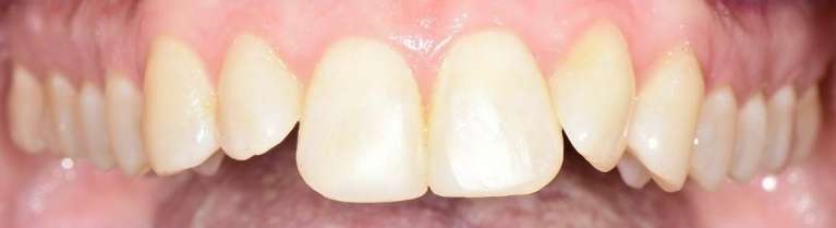
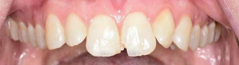
Composite Dental Bonding

Dental bonding is like a mini-makeover for your teeth. Using tooth-colored resin, we can fill small chips, smooth out uneven edges, and even close tiny gaps. It’s one of the quickest and most affordable ways to upgrade your smile, and it doesn’t require any numbing or drilling. 

Clear Aligners

Want straighter teeth without braces? Clear aligners in Lakewood are your discreet, comfortable solution. These custom trays are nearly invisible and gently guide your teeth into alignment over time. You can take them out to eat and brush, and most people won’t even know you’re wearing them. Clear aligners are perfect for adults and teens who want a straighter smile on their own terms.

  • Dr. Grace Rudersdorf

    Dr. Grace Rudersdorf is the proud owner and lead dentist at our practice in Lakewood, CO. She brings a thoughtful blend of clinical expertise, compassion, and a deep commitment to patient education. She began her ...

    View More
  • Dr. Carson Spornhauer

    Dr. Carson Spornhauer brings a thoughtful blend of creativity, clinical excellence, and genuine care to her role as a general dentist at Golden Hill Family Dentistry. Since joining the practice in 2023, she’s been committed ...

    View More

Let’s Create Your Dream Smile

Cosmetic dentistry isn’t necessarily about perfection; it’s about feeling like the best version of yourself. At Golden Hill Family Dentistry, we make the process easy, comfortable, and even fun. We’ll listen to your goals, show you what’s possible, and guide you. 

So if you’re thinking about cosmetic dentistry in Lakewood, CO, let’s talk. Whether it’s something small or a full smile makeover, we’re here to help you shine.

Call today or book your consultation online.

Cosmetic Dentistry Technology

Intraoral Camera

Ever wish you could see what your dentist sees? Our tiny camera gives you a real-time tour of your mouth on screen. It’s a great way to better understand your oral health and feel more involved in your care. 

Testimonial

Super competent and efficient

Amazing job. Super competent and efficient. Honestly, great bed side manner. I was nervous since it's been forever, and they were great.
-Brian

If you have difficulty using our website, please email us or call us at (303) 237-1553
View the ADA Accessibility Statement
Privacy Policy