Golden Hill Family Dentistry
Dr. Grace Rudersdorf, DDS & Dr. Carson Spornhauer, DDS

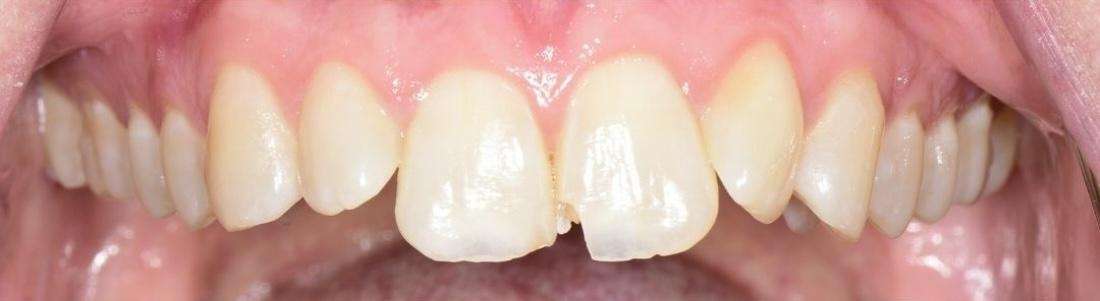
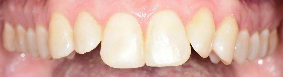
Chipped Tooth Repair with Composite Veneers

Our dentists can repair chipped teeth with composite veneers in Lakewood, CO. A quick and effective solution, veneers can restore your smile’s function and beauty. They also blend seamlessly with your natural teeth. 

Chipped Tooth? Give Us a Call! 

Call our Lakewood dentists today. We’re here to help you smile with ease again!

 

Related Services:

Cosmetic Dentistry
Not Finding What You Need?
If you have difficulty using our website, please email us or call us at (303) 237-1553
View the ADA Accessibility Statement