Golden Hill Family Dentistry
Dr. Grace Rudersdorf, DDS & Dr. Carson Spornhauer, DDS

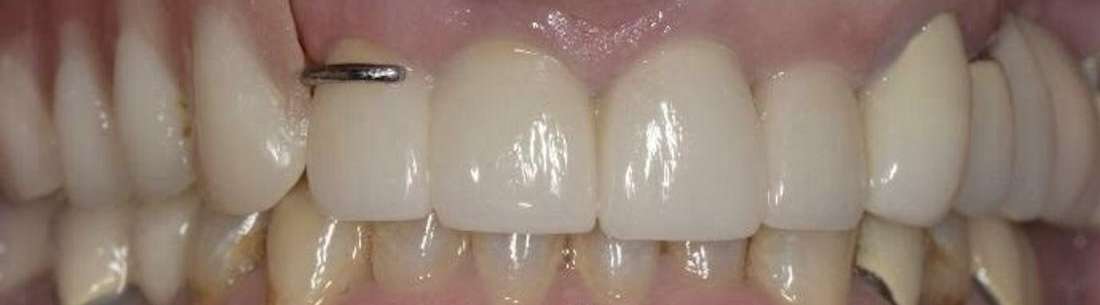
New Zirconia Crowns and Partial Denture

We gave this smile an upgrade with strong, natural-looking zirconia crowns on teeth #7–10. Not only do they look great, but they also add long-lasting strength to the front teeth. To fill in the gap from missing teeth #2–6, we added a custom partial denture that fits comfortably and looks seamless. The result is a full, refreshed smile that’s ready to shine.

Restore Your Smile with Crowns or Partials

Schedule your consultation today and let’s talk about how we can help you smile with confidence again!

We Warmly Welcome New Patients to Our Practice
If you have difficulty using our website, please email us or call us at (303) 237-1553
View the ADA Accessibility Statement