Golden Hill Family Dentistry
Dr. Grace Rudersdorf, DDS & Dr. Carson Spornhauer, DDS

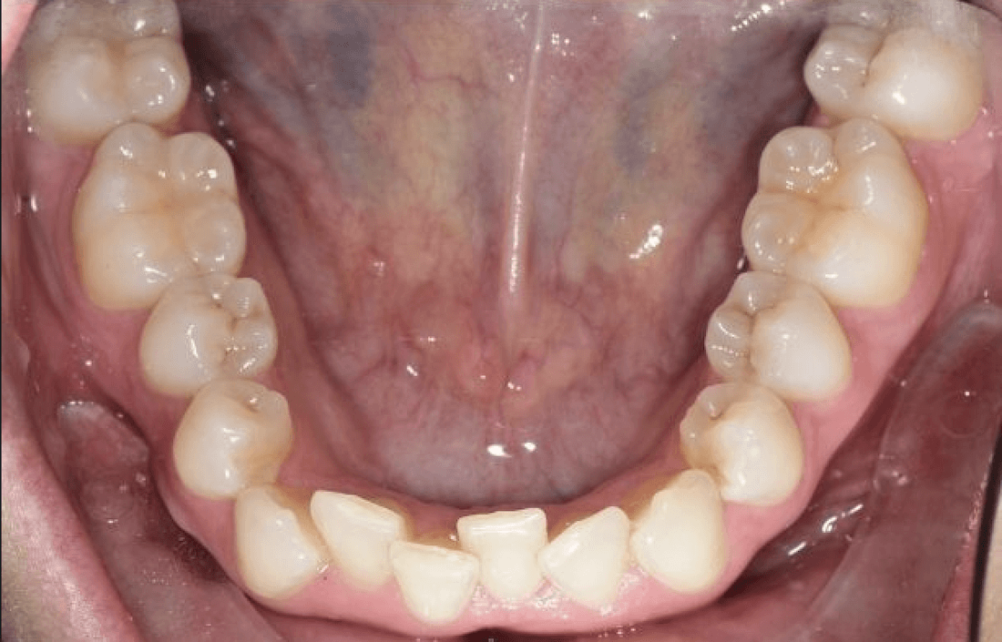
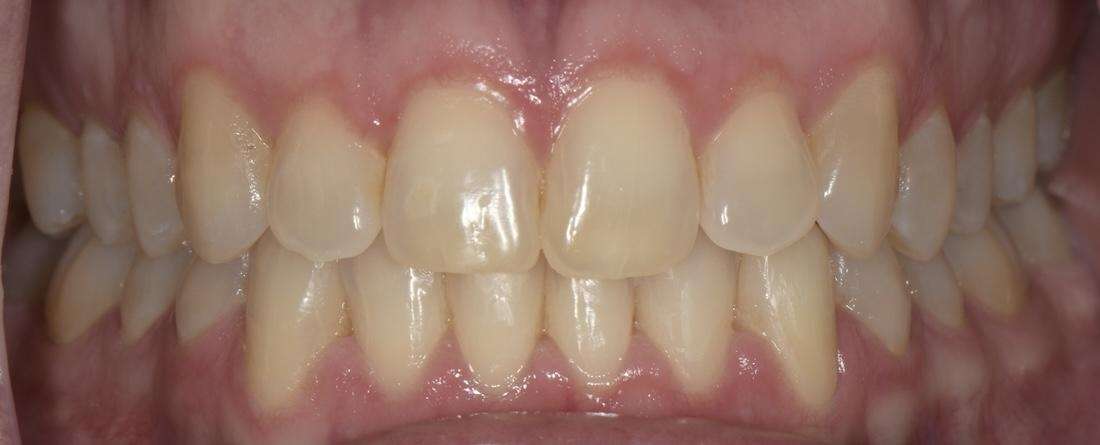
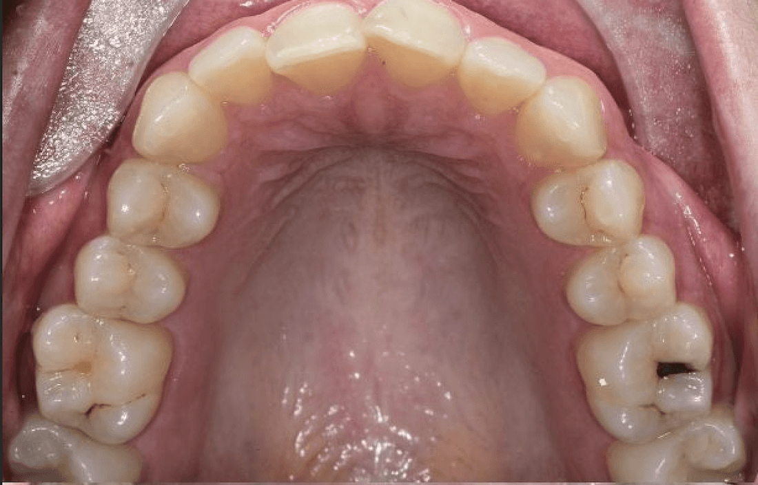
Before and After Ortho

This orthodontic journey highlights the dramatic impact of aligning the teeth and correcting the bite. Before treatment, the patient experienced crowding and uneven spacing. After careful planning and personalized care, their smile is now beautifully straight, balanced, and healthier overall. 

Call Us for Orthodontics in Lakewood, CO

Book your smile assessment with us today and explore the possibilities of a straighter, healthier smile!

Related Services:

Orthodontics
Not Finding What You Need?
If you have difficulty using our website, please email us or call us at (303) 237-1553
View the ADA Accessibility Statement
Privacy Policy