Golden Hill Family Dentistry
Dr. Grace Rudersdorf, DDS & Dr. Carson Spornhauer, DDS

Whole Body Wellness Starts with Your Smile

Meet the Women Behind Your Care

Golden Hill Family Dentistry | Two women standing back-to-back smiling in front of a brick wall.
Golden Hill Family Dentistry | Five dental office team members standing and smiling in a reception area.

Get to Know Us

Dr. Grace Rudersdorf and Dr. Carson Spornhauer combine clinical excellence with genuine compassion to create a welcoming, patient-focused experience. Dr. Grace, owner and lead dentist since 2017, brings a passion for preventive care, ongoing education, and advanced techniques. Dr. Carson, who joined in 2023, blends artistry, problem-solving, and a love for building lasting relationships. Together, they lead a skilled, friendly team dedicated to helping every patient achieve a healthy, confident smile.

Learn More

What Our Patients Are Saying

  • Golden Hill Family Dentistry | Stylized quotation mark icon.

    “Long time patient in this practice and have always gotten excellent care! Dr Grace is a highly competent and caring dentist. Dr. Spot hour seems to be the same but my experience with her is limited. The staff are always friendly, caring and competent as well! I highly recommend this practice!”

  • Golden Hill Family Dentistry | Stylized quotation mark icon.

    “I am a client and have always felt welcome and well-cared for, I wish I could give more than 5 stars. Also, my 3 year old son is a client. This family dentistry is amazing, my son needed multiple cavity fillings and the hygienist, doctor, and front office staff were friendly, kind and so patient with my toddler. I cannot recommend this dentistry more. 10/10. Wonderful experience.”

  • Golden Hill Family Dentistry | Stylized quotation mark icon.

    “The best dental office! They never keep you waiting, great, compassionate care from their team, and Dr Grace is the most amazing dentist ever! I highly recommend!!!”

  • Golden Hill Family Dentistry | Stylized quotation mark icon.

    “I absolutely love this all-female dental team! The vibe is so warm, cozy, and empowering — I’d honestly go just for the environment alone. Everyone is kind, honest, and never pushy. They offer fair prices, truly go above and beyond, and even give affordable at-home tools to support your care. I’ve never felt so well taken care of at the dentist. Highly recommend!”

Your Smile Is Our Priority

Golden Hill Family Dentistry

Turning Dental Visits into Bright Spots in Your Day!

In-Office
Savings Plan

Affordable Care for Everyone

Join Our Plan
Golden Hill Family Dentistry | Dental professional wearing gloves performing a procedure while colleagues observe.

Welcome to Golden Hill Family Dentistry

Great dentistry shouldn't feel clinical—it should feel personal, friendly, and downright easy. As a woman-owned practice, we bring a fresh, thoughtful perspective to dental care that focuses on comfort, connection, and clinical excellence. From CEREC same-day crowns to custom sleep apnea appliances and implant dentistry, we've got the high-tech skills to back up the cozy vibes.

Just minutes from downtown and the foothills, our Lakewood dental office proudly provides dentistry for every stage of life. Need a quick cleaning or a complete smile reboot? We'll keep the process stress-free and built around you. It's all part of our promise to help you embrace your beauty and smile with grace, every single day.

Dental Care That Puts You First 

We put patients first—always. Honest advice, clear costs, and care that feels human. We empower our patients by explaining all treatment options and involving them in every decision. We're all about keeping your experience personal and pressure-free. Whether you're wrapped up in a soft blanket, streaming your favorite show, or finally getting a full night's sleep thanks to airway-focused care, you'll feel the difference. Add in our ongoing training and a deep love for collaboration, and you've got dentistry that feels more like care and less like a chore.

Dentistry with Heart and a Whole-Body Approach

Dr. Grace Rudersdorf and Dr. Carson Spornhauer combine their advanced clinical skills with a genuine love for people. Dr. Grace geeks out on airway health—think sleep apnea and TMJ fixes that improve your whole body, not just your teeth. Dr. Carson is our implant ace—hands-on, tech-focused, and happiest when she's rebuilding a smile from the roots up. Both doctors love learning, teaming up, and keeping dentistry real—the kind that actually feels human, not robotic or cold. They're always sharpening their skills so your care stays top-notch and never cookie-cutter.

Comprehensive Care Under One Roof

As trusted dentists in Lakewood, CO, we offer a full range of services to help you maintain, restore, and enhance your smile:

  • Preventive Care — cleanings, exams, and periodontal therapy
  • Restorative Dentistry — same-day crowns, fillings, root canals, inlays, onlays, and tooth replacements
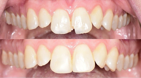
  • Cosmetic Enhancements — veneers, teeth whitening, composite bonding, clear aligners
  • Advanced Treatments — dental implants, dentures, partial dentures, bone grafting, laser dentistry, smile makeovers/reconstruction
  • Wellness-Based Services — TMJ therapy, BOTOX, sleep apnea appliances

Our team is always here to help you achieve your best smile! 

Comfort and Convenience, All in One Place

We know comfort makes all the difference. That's why we've created a welcoming and thoughtfully designed space to help you feel at ease. Grab a pillow, blanket, TV show, or headphones—whatever helps you unwind while we work on your smile.

Our dental office is just off Kipling, across from St. Anthony's Hospital and the Federal Center. We proudly serve Arvada, Conifer, Denver, Englewood, Evergreen, Golden, Littleton, and beyond. We accept most insurance plans, including HSA/FSA, and offer a dental savings plan and flexible in-house payment options. 

Call Our 80226 Dentist Today

Looking for a Lakewood, CO, dentist who mixes top-tier skills with down-to-earth care? You're in the right spot. Many of our patients consider us to be the best dentists in Lakewood, CO. 

Book your appointment today by calling (303) 237-1553.

We look forward to seeing you soon!

If you have difficulty using our website, please email us or call us at (303) 237-1553
View the ADA Accessibility Statement